Bác sĩ Shu-Yuan Xiao, giáo sư bệnh lý tại Đại học Y khoa Chicago, đã kiểm tra các hồ sơ bệnh lý trên bệnh nhân nhiễm virus corona ở Trung Quốc. Ông cho biết virus corona dường như bắt đầu ở các khu vực ngoại vi ở cả hai bên phổi và có thể mất thời gian để đến đường hô hấp trên, khí quản và các đường dẫn khí trung tâm khác.
Bác sĩ Xiao, người cũng là giám đốc của Trung tâm Chẩn đoán Bệnh học và Phân tử tại Đại học Vũ Hán, cho biết mô hình đó giúp giải thích tại sao ở Vũ Hán, nơi dịch bệnh bắt đầu, nhiều trường hợp sớm nhất không được xác định ngay lập tức.
Phác đồ xét nghiệm ban đầu ở nhiều bệnh viện Trung Quốc không phải lúc nào cũng phát hiện nhiễm trùng ở phổi ngoại vi, vì vậy một số người có triệu chứng được gửi về nhà mà không được điều trị.
"Họ tìm đến các bệnh viện khác để điều trị hoặc ở nhà và lây nhiễm cho gia đình họ. Đó là một trong những lý do nó lan rộng như vậy", ông nói.
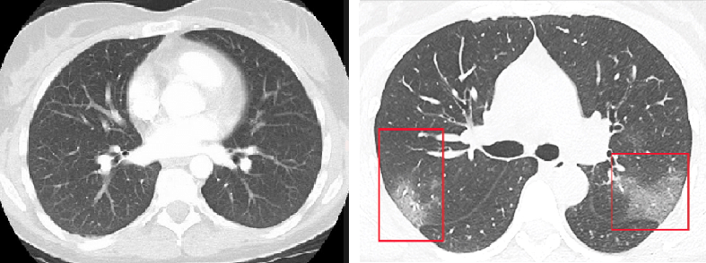
Nghiên cứu gần đây của nhóm nghiên cứu tại Trường Y khoa Icahn ở Mount Sinai phát hiện hơn một nửa trong số 121 bệnh nhân ở Trung Quốc có ảnh chụp CT bình thường trong giai đoạn đầu nhiễm bệnh.
Nghiên cứu này và nghiên cứu của bác sĩ Xiao cho thấy khi bệnh tiến triển, ảnh CT cho thấy "các vệt thủy tinh mờ", một loại màng che ở các bộ phận của phổi có thể thấy rõ trong nhiều loại bệnh nhiễm trùng đường hô hấp do virus.
Những khu vực mờ đục đó có thể phân tán và dày lên khi bệnh nặng hơn, tạo ra thứ mà các bác sĩ chụp X-quang gọi là màng bao dày đặc trên máy quét.

Phổi trong giai đoạn đầu nhiễm bệnh (phải) và phổi khi virus bắt đầu tấn công (trái)
PHỔI CÓ PHẢI BỘ PHẬN DUY NHẤT BỊ ẢNH HƯỞNG?
Phổi không nhất thiết là phần duy nhất của cơ thể bị ảnh hưởng. Bác sĩ Compton-Phillips cho biết nhiễm trùng có thể lây lan qua màng nhầy, từ mũi xuống trực tràng.
Vì vậy, trong khi virus dường như bằng không ở phổi, nó cũng có thể lây nhiễm các tế bào trong hệ thống tiêu hóa.
Đây có thể là lý do một số bệnh nhân có các triệu chứng như tiêu chảy hoặc khó tiêu. Bác sĩ Schaffner cho biết virus cũng có thể xâm nhập vào máu.
Trung tâm Kiểm soát và Phòng ngừa Dịch bệnh Mỹ nói rằng ARN từ virus corona mới đã được phát hiện trong các mẫu máu và phân, nhưng không rõ liệu virus truyền nhiễm có thể tồn tại trong máu hay phân không.
Bác sĩ George Diaz, trưởng nhóm về các bệnh truyền nhiễm tại Trung tâm Y tế Vùng Providence ở Everett, Washington, một trong những người điều trị cho bệnh nhân nhiễm virus corona đầu tiên ở Mỹ, cho biết tủy xương và các cơ quan như gan cũng có thể bị viêm. Cũng có thể có một số viêm trong các mạch máu nhỏ, như đã xảy ra với SARS, dịch bệnh bùng phát vào năm 2002 và 2003.
"Virus này thực sự sẽ tấn công vào các cơ quan như tim, thận, gan và có thể gây ra một số tổn thương trực tiếp cho các cơ quan đó", bác sĩ Schaffner cho biết. Khi hệ thống miễn dịch cơ thể nâng cấp để chống lại nhiễm trùng, tình trạng viêm có thể khiến các cơ quan đó gặp trục trặc.
Do đó, một số bệnh nhân có thể chịu tổn thương không chỉ do virus gây ra mà còn bởi hệ thống miễn dịch của chính họ khi nó nổi lên để chống lại nhiễm trùng.
Nguồn: Zing